Gum disease involves inflammation of your gums and gum lines, which can impact the bone that does surround and thereby support the teeth.
There are three main stages, known as periodontitis, gingivitis, and finally advanced periodontitis.
Dentures and other replacements for the teeth are used, and they can be placed directly into the mouth. While they may take a bit for someone to get used to and won’t feel just like one’s natural teeth, they are comfortable and good to wear.
The Symptoms
Gum disease can have pain or be painless. You should however look for the following symptoms to see if you may have it:
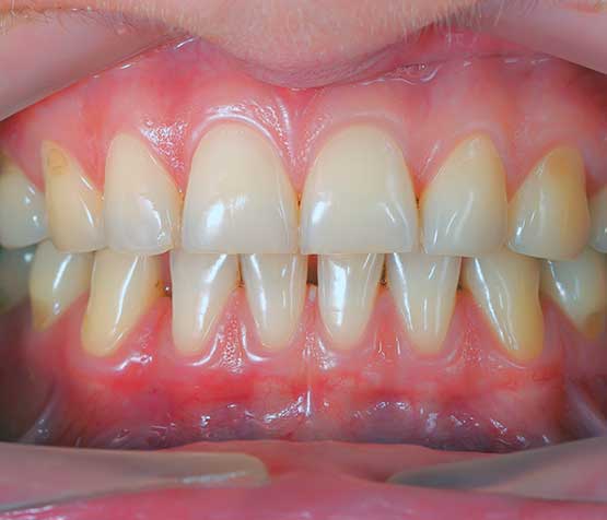
- Gums that are swollen, tender or red
- Gums bleed very easily when flossing or brushing.
- Receding gums that move away from where your tooth is
- A bad mouth taste or bad breath.
- Teeth that are loss
- Changes with the way teeth are moving together
- Changes in appliance fitting
- Pus that surrounds the gums and teeth
- Pain that’s dull or sharp when you try to chew food
- Teeth that get very sensitive when exposed to hot or cold temperatures
The Cause
The cause of this is plaque which is a bacteria that creates a film that’s sticky and colorless around where the teeth are. This builds up over time, and if it’s not removed, it then hardens, creating tartar. This plaque will then form as well on the tartar. A dentist is the only one that can remove the tartar, so if you don’t take care of it, you’re basically exacerbating the issue.

Diagnosis of Gum Disease
The diagnosis is usually done if there is tartar on the teeth. If you don’t remove this plaque, it will create this, and it usually is very rough along with retentive. This then infects the teeth and gums. His can get so bad that it can impact the gum tissues, which impacts tooth support.
You have three parts to gum disease.
The first is gingivitis, which is the earliest, and is characterized by the buildup of plaque, and gum inflammation. There might be some swelling or redness, or some bleeding when you brush and floss. This can in some cases be reversed since the connective tissue and bone is not hurt by this yet.
If you don’t take care of it, this leads to periodontitis, which is where the bones along with the fibers that hold these teeth within their place are from here damaged irreversibly. The gums create a pocket that’s below where your gum line is, which pushes for the growth and the penetration of the plaque that’s underneath the gum line. Professional therapy of the periodontal area is what will help with fighting the damage and preventing further damage from occurring.
Finally, you’ve got advanced periodontitis, which is a much more advanced part, which impacts the bones, along with the fibers within the teeth. This can cause the teeth to loosen or shift, impacting the way you bite down on your teeth, the foods you eat, and how one communicates. Sometimes, you have to get the teeth removed, and restorative items are added to your mouth to fix your smile.

The best way to prevent all of this is to take care of your teeth. Use a toothpaste or a mouth rinse that kills off this bacteria, lessening the various plaque within the mouth. Removing this prevents gum disease and boosts the health of the mouth.
Many times, if you take care of it now you can prevent gum disease from becoming serious.