Maybe you noticed that your gums are red and swollen, or maybe you noticed a new growth which wasn’t there before. Here, you may wonder if you’ve got gingivitis or cancer, and you may wonder what you should do. Here, we’ll go over the signs of both.
Gingivitis Signs
There are certain signs of gingivitis that are worth mentioning. Gingivitis of course, is caused by the buildup of plaque and tissue, irritating this. This is definitely something to watch for. Some of the signs include the following:
- Gums which are sensitive, red, and swollen
- Bleeding easily
- The teeth look longer
- Bad breath
- A pocket between gum and tooth
- Infections in said pocket
It’s something that you should get help with immediately from professionals. Checkups, and deep cleaning are a great way to take care of it, and cleaning your teeth is one of the best signs to reverse it, and it’s something that’s used to prevent periodontitis.

Gum Cancer Signs
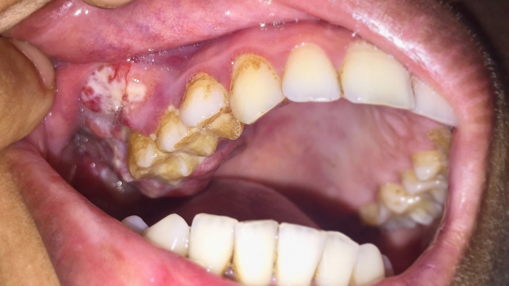
There are certain signs that come about with gum cancer specifically. Patches or growths which are irregular are signs of this. They may be swollen and white in terms of color. They’re called scientifically erythroleukoplakia (white and red patches or growths) and also ones that are only white and only red. The ones that are just whit usually appear to be benign, but anything that’s red, or a combination of the two is something to be mindful of.
Gum cancer is different from gum disease, and the problem is that it does spread in a quick manner, so early detection is something which offers the best outcome. If you notice growths within your gums that haven’t been cleared in at least a couple weeks, you might want to get a biopsy.

There is not a link between the two. Gingivitis and oral cancer don’t have a connection. But there was a study that those that have a history of gum disease did pose a much greater risk for developing lung, breast, esophagus, along with melanoma, but the connection isn’t clear, but it does offer you a reason to worry about cancer, but you should also take care of your teeth.
What to do?
They’re both serious aspects, and it’s best if you do talk to a dental professional for checkups that happen regularly, since you can reduce the chances for developing gum disease and gingivitis. Plus, detecting oral cancer early is something that helps you with looking for the problem, and seeing if it’s serious, before they become big issues.
Obviously, the solution involves home care, which is something that plays a large part in this, especially this stage as well. Dental professionals can look at this, properly diagnosing everything before there are major issues. Excellent oral care is also pretty simple too. You should brush twice daily, ideally after each meal, flossing at least once every single day, moderately using alcohol, and not consuming any tobacco products. All of this does play a part in both reducing risk for gingivitis, and also for lowering risk of getting oral cancer.
If you notice a growth that wasn’t there prior to this, or if you notice that the gums are swollen and tender, it may just be nothing, but if it does persist, you should talk to the dentist and get a treatment for this, and you should obviously get it checked out.
Gum cancer and also gingivitis are both no joke, and if you take care of this now, you reduce the risk of further developing this down the line as well.