Gum disease starts out mild, and usually affects the gums well. But if it starts to get worse, becoming advanced gum disease, this develops into periodontitis, and causes a lot of different complications to the mouth, and damage to the structures that support this.
One of the vulnerable structures is called the furcation, and this is something where the tooth and the roots end up meeting, and can cause bone loss, and possible tooth loss too.
Symptoms of Periodontitis
Those who have periodontitis do have red, swollen gums that are red, and painful to touch.
During infections of the gums, that space between the gum and tooth creates a deep pocket. Pus can form in between these, and those who have periodontitis might suffer from bad breath, or bad tastes in the mouth.
The infection grows, eventually damaging the bones and tooth. The teeth might fall out of alignment.
The loss of bone is specific to the branching of the roots of the tooth and is called a furcation defect. Since only teeth that have multiple roots suffer this, it usually only affects both the molar and the premolar teeth that are situated near the mouth back.
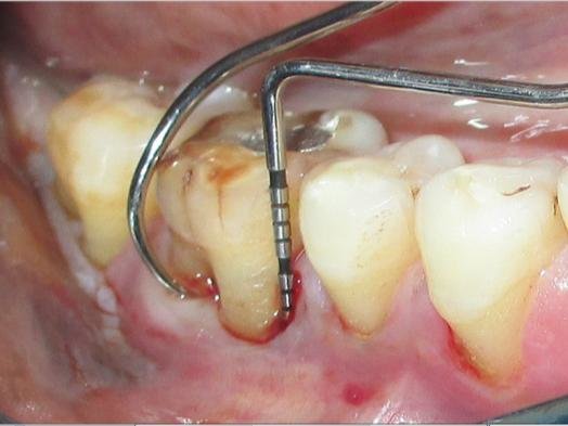
Diagnosing Loss Between roots
Dental professionals may use probing in order to detect the defects. They use an instrument known as the periodontal probe, where they can explore the areas that situate beneath the teeth and gums, identifying bone loss.

Various x-ray images are also used for diagnosis, in order to detect the loss of the bone in that area. in many x-ray images, it might look almost translucent between your roots.
For more advanced cases, you may see a defect even without probes. This happens when the tissue surrounding the gums gets recessed, which means lowered on the root surfacing of the tooth, exposing the root that’s damaged as well.
Treatment for these Roots
The furcation defects along with the periodontist responsible for them, does need to be treated immediately. if they’re not treated right away, they will need to be extracted.
Sometimes, scaling and root planing is used. This is a deep cleaning that removes all of the tartar and plaque from the roots and surfaces of your teeth. It then smooths the areas that are rough, on the root surfaces as well.
In order to treat bone loss, some dentists might perform bone grafting. In this, they will use bone that’s either synthetic or natural to replace the bone that’s lost. Some proteins might be used to help with effectively healing the area. but it can definitely take a couple months.
In situations where the gum has receded enough for the tooth roots to be exposed, some gum grafts might be a part of this. Gum grafting is when you take the gum tissue from one part of your mouth, such as the mouth, or even just some syntactic materials. It’s then attached to areas that have receded.

Sometimes, the teeth might not be saved with this complication. If the tooth is completely lost, there are a few ways to replace it.
Dental bridges are one place to start, where they replace the teeth by anchoring to the teeth next to it. Dental implants might be another option, as they’re implemented into the jaw and are left there without impacting the teeth surrounding it.
For people missing more than a few teeth, dentures might be the ideal option.
Overall, good oral hygiene prevents most of this, and keeps the inflammation completely at bay. Brush twice daily with fluoride toothpastes in order to prevent this from getting worse. Floss once daily to clean the areas too.