A soft palate that’s swollen is not just a minimal issue. Your mouth is a huge part of your body, as it’s the gateway, and for a lot of people, it also can cause a lot of problems too. Diabetes, cancer, and even respiratory and heart conditions show up in the mouth. It is important to get an assessment to manage the signs of inflammation right as they appear. What does a soft palate mean though? Let’s dive in.
What it is
Touch the roof of your mouth with your tongue. Does it feel hard and bumpy right behind where your teeth are? In this part of the mouth, the bone that’s connected to your skull is right under this tissue. Once you move to the back of the mouth roof, the tongue starts to feel softer, bouncy, and almost smoother. You will notice the difference, and that’s when the soft and hard palates meet.
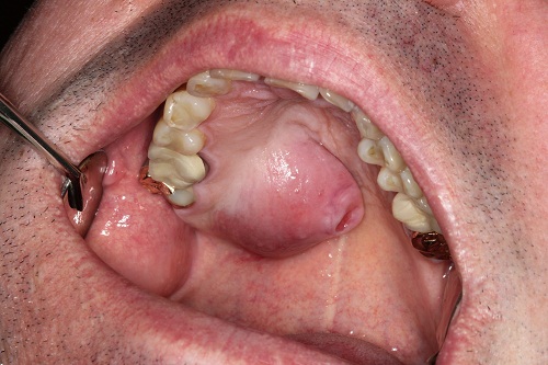
The soft palate goes all the way from the back of the hard palate to your throat, and it ends at the uvula, which is a little teardrop shape. This is used to rise up and downwards, and also to close the nose off once you swallow the food, so it doesn’t end up in the nasal passages or the nose. It also is where the oral cavity technically ends. This also is where the oropharynx, which is the throat, begins. This is something that’s a small junction, but it does branch off to the stomach and longs.
The Symptoms of Soft Palate Syndrome

This is due to the fact that there are different tissues near this part, which include muscles, blood vessels, fat, and ligaments. You can experience inflammation and swelling when there is a fungal, viral, or even a bacterial invasion. Because these areas are directly connected to your gastrointestinal and respiratory symptoms, evaluating this will help to determine the causes of this.
The inflammation is basically telling you that invaders are here, and you need to get some help!
One invader that could be there however, is oral cancer. It can cause swelling, a lump feeling, pain, redness, and function loss. Your dentist can screen for oral cancer as you get your teeth cleaned.
You can also get swelling due to canker sores, and coffee burns. This swollen feeling also comes with when one is dehydrated, or too much alcohol consumption. Drinking a lot of water and keeping with the electrolytes also won’t hurt if there is swelling due to a virus. If this does last for far more than a day, then you might want to see a doctor.
Treatment for Such
After you get an assessment, you might need to get referred to another part of the team. It might involve getting some mouthwash in order to soothe the irritations in the mouth and cleaning them too. They also might request a biopsy, or even some testing, which is necessary. It’s vital to ensure that detection early on is there, as this will help with addressing the problem immediately. It also is good if you’ve got difficulty with breathing too, as this prevents the swelling from getting much worse.

Seeing your dentist is important, as this prevents and treats the disease that’s there when you take care of your mouth and oral health, you get total wellness of the body, and this isn’t just for the tooth, but also for every single part of the body. Keep that in mind when you’re taking care of your teeth as well.