Milk And Dental Health

Making dietary choices to favor your dental health can be challenging. You may wonder whether or not milk is good or bad for teeth. Is there any chance for milk to contribute to tooth decay? Several studies suggest that milk can be a great companion for your teeth. 

In this article, we will discuss things that you need to know to determine the appropriate use of milk to help your oral cavity.

The need for milk

Not only are milk and other dairy products are delicious, but they also contribute to overall health by supplying an ample amount of calcium to the body. This mineral supports metabolic processes in your body. Moreover, 90% of it is stored in the bones and teeth. The National Institute of Health (NIH) recommends a daily intake of at least 200mg to 1,300mg of calcium for infants and toddlers. The amount can vary with age, depending on the requirements.

Dairy against tooth decay

Our dental health benefits from milk and dairy products. But do you know why? According to the University of Illinois at Chicago (UIC) College of Dentistry, there are several benefits of having dairy products in your diet.

  • The first benefit is that those products contain casein protein, which contributes to the formation of a protective film on your teeth. This film protects your tooth enamel from acids and bacteria that can initiate tooth decay.
  • Dairy products are rich in calcium and phosphorus, both of which are the minerals that reverse damage to your teeth in various ways. These minerals are helpful, particularly when it comes to reversing the damage caused by bacteria and acids.
  • These products are usually pH-neutral, meaning that their intake can help reduce acidity in your mouth. You can consider having a glass of milk after a meal or snack.
  • Another one of the most significant benefits of dairy products is that they stimulate the production of saliva in your mouth. Saliva washes away leftover food particles and harmful bacteria, allowing you to have healthy teeth.

Remember, having milk covers only one aspect of a healthy diet. You have to make sure that your diet is more balanced. For this purpose, you have to have vegetables and fruits in your diet plan.

Getting more milk

Calcium is present in many foods and drink. Milk, however, is the easiest and most accessible food that contains calcium in an ideal amount. And what’s even better is that the calcium in milk absorbs more quickly in the body compared to other resources.

If you are not a fan of drinking milk, you can still get calcium in a lot of other ways. Here are the dairy products that you can have in this regard.

  • Yogurt, with or without fruits
  • Cheeses
  • Buttermilk
  • Frozen yogurt and ice cream
  • Calcium-fortified soy milk

Milk instead of soda

If you want to have a beverage, let it be milk instead of soda. Soda can do exactly the opposite of what milk can do to your teeth. You can at least limit the consumption of soda if it is to avoid it at all.

Pre-Implantitis and the Protection of implants 

Dental implants are wildly successful, with a rate of up to 95%.   There are many replacement options for missing teeth, but this takes the cake. However, just like your own natural teeth, you do need to care for implants so that they last. 

Peri plantains is an infection of the areas around an implant, and they can develop when you’re not careful with the implants and give them what they desire. 

First, what’s a dental Implant 

Dental implants are made to replace your teeth.

There are multiple parts, which include an artificial root made of titanium, and a crown that sits atop this. 

They’ve become a very popular dental prosthetic option, with multiple advantages. 

They include: 

  • Offering you a chance to have a functional bite and an option to chew. 
  • They don’t come loose or slip, unlike of course, dentures. 
  • They look like natural teeth while not developing the activities that are there 

But dental implants are not immune to the buildup of plaque. 

In fact, the accumulation of plaque at the base of your implant is what causes peri-implantitits.   According to the American academy of periodontology, this s a gum infection that happens around your implant, and deteriorates the ties used, along with the bone that surrounds this implant. 

So how common is this? well, about 40% of the implants that are over five years old are susceptible to this. 

When you don’t treat this, it does lead to implant loss, which you have to be careful with. 

Caring for your implant 

The benefits of implants are that they last a few years, and they can save you the expense and disruption of some of the conditions that may happen. 

Now to prevent the inflammation of the area around your implant, you just have to have a good hygiene routine. 

This includes: 

  • Brushing and flossing twice daily. 
  • Depending on where the implant is and the number you have, use interdental brushes or water flossers to help with this 
  • Talk to the dentist and routinely check for healthy gums and bones 
  • Stop smoking. If you do smoke, this increase the chance of implant failure 

If you have diabetes or gum disease, there is a stronger chance of peri-implantitits developing, so talk to your dentist about further steps to take 

You can also prevent further decay on your natural teeth if you do prevent this on the implants. 

Symptoms and Treatment 

Now, if you’re worried you might’ve developed this, here are a few things to keep in mind: 

  • The gums will be tender and inflamed. 
  • They might bleed when you brush 

If you’re worried, you should talk to your dentist to figure out the concerns, and to report all changes during dental visits. If you do develop these symptoms, don’t hesitate to tell your dentist in order to resolve the infection and avoid the instances of implant failure. The treatments of this do vary based on what’s being treated, the implant type, the severity of this, and other small notes. Every treatment has benefits and drawbacks, so find out from our dentist what is right for you. 

Some are more effective when they work well with other treatment options for you too. Some treatments have some good benefits too, and they do work well. 

Antibiotics are the first option, as this can help right around the implant. 

Sometimes, you might need to use mechanical removal. There is also laser therapy for destroying the bacteria at the source. 

Finally of course, there are surgeries that are used as a last resort. 

Back to School Oral Care Kits 

With the school season always a focus for many parents, oral care is something that’s oftentimes not fully looked at, due to the flurry of haircuts, shopping, schedules, and even new seasons. When a child’s starting a new grade, putting together oral care kits for kids is perfect. That way, they’ll be able to walk into classrooms wearing the hottest accessories for the school year: bright, healthy smiles. Different kits vary based on age groups, and you’ll be able to experience your full journey with this. 

Planning these Kits

When putting together these kits, you want to get into good habits first and foremost, so that it sets up the family for success in the long term. 

While the weeks leading up to this feel like they’re forever, you should know that the health of a child is a critical part of starting this calendar. 

When you’re prepared for healthy routines, you’ll be able to kick things off in a strong manner. 

Taking time to schedule dental checkups a month before they begin, and even stocking up on oral hygiene and other items, and even good snacks is good.  It sets them up for a future of bright, healthy smiles. 

Now for kids ages 5 to 8, they probably don’t have a regimen down yet.  But don’t ferret, that’s normal. The simplest solution is to have reminders that’ll help them brush and get them to do this.  getting them to brush for 2 minutes, and then having them do this twice a day, especially before bed, is good. Sticker charts are a great way to keep one on track. 

These oral kits need to include: 

  • New toothbrushes of their choice.  You should make sure to change every quarter, as they are good for remembering to keep them clean 
  • Mild toothpaste with fluoride in them, so that they get a fun, exciting flavor 
  • Flavored floss or even flossing holders 

For kids 8 to 12 years old, they’re preteens, starting at new life stages, and teeth usually start to enter a new stage, which is the braces stage. It’s recommended that children get their first orthodontic checkup at the age of seven or so.  When setting this up, you can also ask your dentist for referrals to orthodontists if you’re worried about teeth alignment. 

When you put together a dental care kit, having these supplies in their gym bag, along with deodorant and shower gel, will help them stay on top of their oral health. 

Finally, you can get them an electric toothbrush. 

Their oral kit should contain: 

  • Battery powered toothbrushes for home, and a soft-bristle toothbrush on the go 
  • Fluoride toothpastes of choice 
  • Flavored floss and a flosser 
  • A small pouch to hold this 

Then at ages 12 to 18, you want to focus on the stress of teenagerhood.  They are definitely something that you’ll want to keep on hand.  You should give them a reminder either in their phone, or even notes. 

Adolescence is usually the best time to focus on keeping the cavities away, and brushing with fluoride types of toothpaste and treatment is good.  You want to make sure that you have good oral care, and also eat a diet that’s healthy and nutritious, in order to give teenagers healthier mouths. 

Their kit must include: 

  • Portable, manual toothbrushes that are good for their gym bags, or even a tongue cleaner 
  • An electric toothbrush that’s battery powered with different settings 
  • Travel mouthwash 
  • Fluoride toothpastes of their choice.  

These are all good for their bags to get them on the right path to oral health and success. 

Do Tooth Worms Exist? 

Did you ever wonder if there is a “tooth worm” that eats at the teeth inside, which is what creates the toothache? While the tubules and dentin within the pulp that’s disease do look like a worm, there’s not actually worms in your teeth, even though they do look like this.

The Tubules 

Tubules in dentin are little tubes that are hollow and sometimes cause diseases. They’re seen only with a microscope, and they do look like worms according to the ADA. The dentin tubules have a specific job which is pretty important. That is to conduct the sensitivity that’s there when exposed to heat or cold on the surface of the tooth all the way to the nerve. 

But there are some instances where discomfort and pain occur when you expose the tubules.  They do look like worms at first when you look at them with a microscope. However, they are not actually worms. 

The Cause of Dental Disease 

If it’s not tooth worms or problems in gums, what’s causing these toothaches? 

The most common cause is bacteria, or plaque that forms on the teeth. They decay and play the part of the villain for people. 

Plaque is where it forms when there is a lot of buildup near the bacteria that’s within the teeth. It leads to gingivitis and gum disease. It also causes periodontitis, which affects over half of Americans that are above 30 years old. 

The treatment for Caries 

While there’s no actual worms there, there are treatments that come with this.

Some of the treatments include: 

  • Cleaning out the teeth, filling them with restorations 
  • Preventing the pulp that’s there from being hurt further and dying, with a capping of the pulp 
  • Performing root canals on affected areas 

If there is a lot of decay there, to the point where it can’t be salvaged, more than likely they’ll just take it out via extraction.  Usually, they replace this with implants, or bridges. Ideally, it shouldn’t get to that point, but you never know. 

Overall, your dentist will give you the right treatment. If there is periodontitis, then chances are they’ll also have you get a scaling, which is a deep cleaning of the mouth. This can prevent further worms from burrowing in, giving it a deep cleaning that’ll really work its magic. 

Keeping the Mouth Healthy 

While you shouldn’t worry about worms, you’ll want to make sure that you keep the mouth clean and healthy. 

The best way to treat caries is to prevent them before they get worse.  What’s the best way to prevent this though? 

Well, the best ways are as follows: 

  • Brush your teeth twice daily for two minutes with a fluoridated toothpaste 
  • Floss once a day to get in between the teeth 
  • Rinse out with a mouthwash that’s antibacterial, and ideally alcohol free so that you don’t dry out the mouth and invite the cavity causing bacteria in 
  • See the dentist every six or so months to get a checkup and to look for any possible problems that might occur 
  • Have the teeth that are damaged examined and taken care of as soon as possible, in order to mitigate the damage that’s there 

With a lot of advancements in modern medicine and dental science, you want to make sure that you take the time to ensure that this is properly taken care of. 

Practice good oral hygiene practices, and from there you won’t have to worry about the dental worms. They’re for the birds then, rather than for your teeth. 

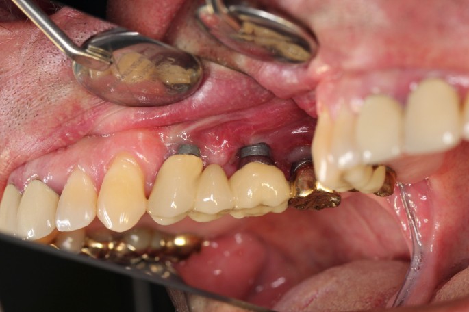
The role of Abutments in Dental Implants 

When we think about implants, we rarely focus on the nitty gritty. That is, until you’re the one who needs the implant.  Suddenly, you start to look at this and wonder just what abutments are, and why they’re going to be in your mouth. 

If you’re going to replace your teeth, you may wonder what some of the important parts of it are, which we’ll go over here. 

What Abutments are 

Abutments are a connector made of metal, and for dental procedures, they’re put into implants after it’s been healed.  The abutment basically screws directly into the implant, and is the middleman between the implant itself, and the crown, or fake tooth, that’ll be there. 

For those with dental bridges, the crowns are put on two of these abutments, and then are connected to these other teeth that are replaced called pontics, that will sit over the gums. 

Abutments are usually created in labs, made of gold, titanium, zirconia, stainless steel, or even polyester ether ketone.  Placing the abutment is a small procedure, and usually, they’re done with only local anesthesia for pain. 

What are implants 

Well implants are basically metal fixtures that work like tooth roots, and they’re put into the gums and jawbone.  Essentially, they get anchored to your bone through the process of osseointegration where ethe bone gets directly fused to your metal. 

It offers stability to both the abutment and crown, which is on the same level as actual teeth.  It can take up to 12 weeks for these to heal once you get implants. 

If you have a dentist that says that the jawbone isn’t strong or thick enough for support of this implant, then a bone graft might be recommended. In this, oral surgeons take bones from another part of the body or will use synthetic bone in order to attach this directly to the jawbone.  This offers a sturdy support for these replacements until the bone is able to heal tightly around this implant. 

Regardless of Type, you need good Hygiene 

One thing that’s important is regardless of the implant, or a crown or even a bridge, you have to practice good oral hygiene. 

The implants work in the same manner as your regular teeth do, where you’ve got to brush this twice daily, along the gums and then sweep towards where both biting parts of the teeth are. 

Cleaning between the teeth with water flossing or interdental brushes at least daily is important, and you should have tongue scrapers or antimicrobial mouth rinses. 

When you do this, always check with a dentist for a regular appointment, not just for keeping the teeth perfectly right and to get rid of bacteria, but also for the implant’s health.  You should take some x-rays in order to check the bone area around the implant.  You should also look at the gum tissue that’s near this area, ensuring that it’s free from the inflammation which may be there. 

Now that you know a little bit about implants and abutments, you’re in for a treat, and you’ll be able to have good, informed conversations with dentists. Good luck with this, and make sure that if you have replacement teeth, always take care of them like you would with regular teeth, so that they work just like the real thing. With the right care, these replacements can last the rest of your life, which is definitely something to smile about. 

Protect your teeth, and protect them all, so that you can have the best oral health that you can, in the best ways possible. 

The Importance of Mouthguards 

Sports are something vital for both kids and adults to enjoy, and it allows them to be healthy and happy. The problem with sports, however, is that while they’re fun, there is a risk for breaking something.  Chipping and breaking a tooth can increase your dental bills by a lot, but one way to prevent this is a mouthguard. We’ll go over why here. 

Why are they important? 

Why should you wear a mouthguard? While you might wear a helmet to protect the head against head trauma, a mouthguard is great to prevent any further injuries to the mouth and the face.

When they’re made of a soft plastic, or even a laminate, this is something that prevents injuries that happen when you have something hit your mouth. They also protect the gums, the cheeks, and also your jaw.

So why do they wear these? Well, regardless of the age, the gender, or the level of skill, everyone’s at risk of getting a n injury to their mouth. While this is scary, a mouthguard can help prevent this from further getting worse. It actually reduces the prevalence of the trauma that happens with athletes during contact sports.

A lot of people will benefit from the protection that a mouth guard offers, especially if you’re in a high contact sport. In fact, over 41% of people who play sports wear this.

Now, you might wonder how it protects, and we’ll go over that here. 

Using mouthguard for Sports 

While mouthguards can’t prevent elbows from hitting you when you’re in the middle of a game. Those things happen. But what it can do is prevent the injuries from getting worse over time. They reduce the impact through spreading it out, and also reduces the damage to both individual teeth, and the mouth as a whole. 

The way that they’re made also ensures that there is some protection of the shock of the force. 

During sports, you’re bound to get injured. In fact, over a third of all the injuries that happen during sports occur near the mouth and the face.  The good thing about this though, is that while it’s hard to fully prevent injuries, you can mitigate the effects of this.

Mouthguards are in fact far cheaper than any other protective elements that are used. In fact, they’re so cheap you can get them at the drugstore for less than 20 bucks.  For just 20 dollars, you can prevent thousands in dental treatments from injuries.

The problem with mouthguards is that so few sports require them. While you have to wear one for high contact sports like football, those that are not as high contact like baseball  and basketball might not require it.  a lot of players wear them when they play, because if you get hit by an elbow, it could knock out the tooth if you’re not careful. 

Mouthguard Types 

You’ve got a couple of different mouthguard types out there, and it’s important to consider all of these.

A good thing to keep in mind is that the better the mouthguard fits, the better the protection you will be getting.

If you’re strapped for cash, you can get stock, as they’re cheap, but they don’t fit comfortably or have protection 

There is also boil and bite, which is where you boil the guard, bite it, and then leave an impression. These are middle-level types. 

Finally, you’ve got custom made, which are the most expensive, but protect the best.

Regardless, try to get your child a mouthguard, especially if sports are their jam, but injuries are not. 

What Dental Bonding is 

Accidents happen, and there are tons of ways a tooth may get chipped, and a few ways to repair it. One of them is tooth bonding, or enamel bonding. It’s cost-effective, and good for minor problems that happen with broken teeth.If you have cracked, chipped, decayed, or problems with teeth coloring, bonding might be the best way to get your confidence, and a winning smile back.

What it’s used for 

Bonding is where you get some composite resin on the tooth’s surface to fix it. It’s simple, not expensive, and a cosmetic procedure that’s done in one visit. With lots of dental issues that bonding can fix, it’s good for discolored or chipped teeth.

It also may choose to close the larger spaces between one’s teeth, changing the shape and making them look longer. They are also used in metallic or amalgam fillings to protect the exposed rooted part with gums that are receded. 

How it’s Done

Luckily, bonding is a very simple procedure that requires just one appointment. 

A composite resin made from plastic is placed on the tooth. It’s perfect to mold there, so if you’ve got a newer tooth, it will fit with the smile. 

Here’s the steps that go with the dental bonding procedure. 

  1. First the dentist will clean the tooth in order to create the best bonding surface possible. 
  2. They apply the resin and then shape that bonding material. 
  3. The bonding is then dried with UV light, and shaping takes place 
  4. It’s polished for a natural look, and then they floss it to make sure that it’s smooth. 
  5. It usually takes thirty minutes to an hour to fix this. but if there’s multiple teeth, it takes multiple visits. Most tooth bonding doesn’t require any anesthesia, so you’ll return to daily activities right after the appointment. 

Risks to Bonding  

There are a few risks to this. The main downside is that it will never be as strong naturally as natural teeth, so there is a chance that these can break off, or chip completely. If you’re going in for tooth bonding procedures, it may be time to kick those habits, including biting fingernails, chewing on pen caps, and ice, as they will impact the resin.

Care for bonded Teeth 

How long your bonding lasts depends on what you need done, and habits orally, so it’s vital to give the teeth that are bonded with as much care and attention as the natural teeth might.

Bonding material is very prone to staining, so make sure that you watch how much you consume coffee, tea, wine, and cigarettes. 

Avoid these foods for up to 48 hours after any procedure. If you do have some sharp edges on the teeth, or they feel weird when you bite down. if they fall off or completely chip, contact the dentist immediately. 

How long they last can be anywhere from three to ten years before needing to be repaired or replaced. If you brush your teeth twice daily and interdental flossing, it does extend that dental bonding effectiveness.

These regular visits also keep the mouth healthy, ensuring that the dental bonding is functional. 

Try to avoid eating hard, chewy candies, and don’t pick at the bonding.   When playing sports, protect your teeth with a mouth guard. If you do grind your teeth at night, try to prevent the grinding and damage with a night guard. 

Tooth bonding is pretty affordable, and usually only requires a single appointment. It’s pretty cheap and is usually under a grand. It’s great to get the confidence that you need. 

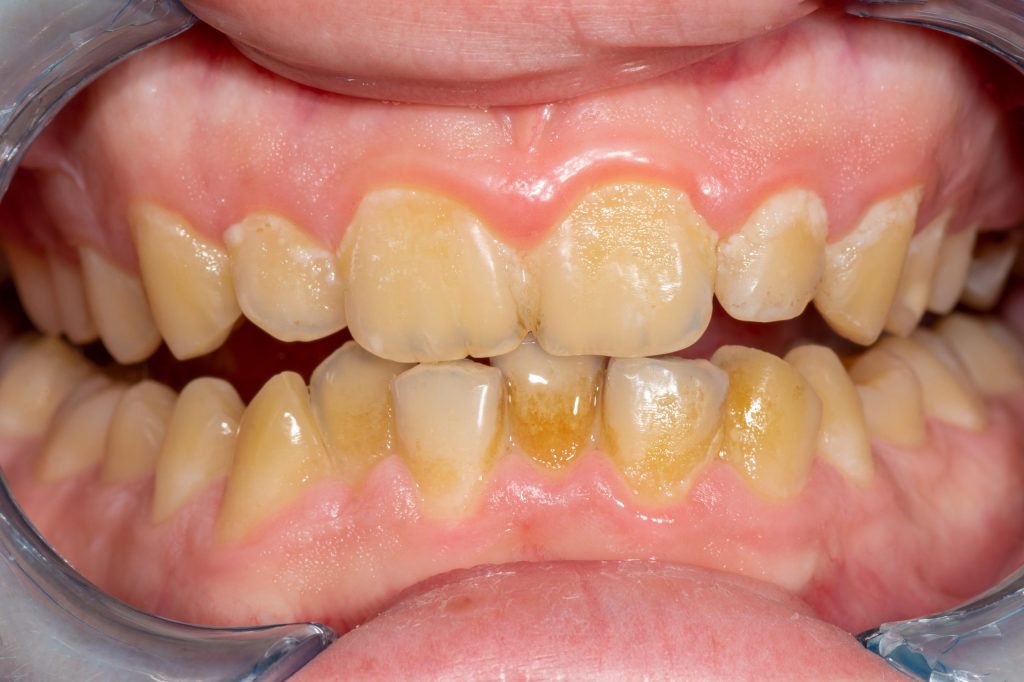
The science of Plaque and Tartar 

Plaque and tartar are the two things that you hear your dentist talk about with you all the time. It’s probably the one thing that they’re always getting on to you about. “you have a lot of plaque” “there’s a lot of tartar buildup? But have you ever wondered why they care about this? Well, you’re in luck because here, we’ll look at the science of plaque and tartar, to help you better understand just what’s going on. 

What plaque Is 

Plaque is basically what bacteria creates after they eat some of the food and enamel off your tooth. It’s a biofilm that covers the area. The problem with this is that it starts to harden, and then bacteria will feed off this, creating tooth decay. When it gets all the way to the root, it causes gingivitis, and periodontitis, which are both not very fun diseases. 

It is a huge concern because over time, it will start to break down, eventually getting so bad that it can cause tooth loss. Again, never fun, and you should always try not to have this happen. 

The formation Process 

The formation process begins with your mouth’s biome.   The mouth has a ton of bacteria, some good, some bad.   While the good is needed, the bad causes problems. 

The bad, feeds off sugars and starches that you eat.   When they nibble on this, it then causes the biofilm to form.   This then becomes plaque.  When you wash it off, you’re fine, but what if you don’t.

Then it hardens even further, creating what’s called tartar. Tartar cannot be removed without the help of a dentist, so don’t even try to do it yourself. 

When left on, it then causes tooth decay and a breakdown as well. 

The prevention of tooth decay 

Tooth decay prevention requires you to take care of your teeth, to remove this plaque before it gets worse. This of course, may be brushing your teeth twice a day, really getting all of the various areas. It also may be flossing, to get in between those problematic teeth areas. 

Now, brushing and flossing only goes so far. It’s needed, it’s important, but it isn’t perfect.   In some cases, it might cause you to have to go and see someone else, a dentist perhaps. In that case, then you’ll need to get a professional cleaning to get rid of the bad stuff.

But while seeing a dentist is great, you also need to be proactive about what you do.   try to as well have some diet and lifestyle choices, ones that will help to improve the oral health and reduce plaque buildup. It may take time, but removing the sugars and starches, replacing them with healthy, whole foods that will improve the enamel, will most definitely be the better solution for you. 

If you’re having trouble with what foods to eat, having dairy, leafy greens, and non-acidic foods is a good place to begin. you can have sugars and starches, but try to have some water after that. Also, don’t try to have them often.

And there you have it, everything that you need to know about dental health, and how to prevent the ongoing growth of plaque. When you control your plaque, you control your oral health, and by doing so, you’ll be able to, with this, create a better, and more rewarding experience for your oral health needs. 

Controlling this will help to make your own experience even better, and by doing so, you can create a better mouth for yourself and your future. 

Why Water is The Best Cavity Fighter 

Water plays a major role in your oral hygiene. In fact, it’s one of the best ways to keep cavities out. why? It’s so simple! In this, we’ll   go over how water can wash away plaque, and the importance of how it prevents acidic damage. 

But, not all water is equal, which we’ll go over to, and show the differences in which different water can offer to your experience, and why it’s important to be mindful of the quality of water, including water it matters. 

How Water Wipes away Plaque 

Water is one of the easiest ways to get rid of plaque, because it can rinse away a ton for this.

When you drink water, it washes away the brunt of these food particles, so that bacteria can’t consume them, reducing the buildup on teeth.  Hydrating your mouth also contributes to saliva production, and also will help with reducing the plaque that would form otherwise. 

Water also naturally neutralizes acid.   Acids that are produced by bacteria in the mouth can be diluted with the use of water, protecting the enamel from erosion that is caused by plaque.   All of these things, combined together, will make it the best way to reduce the cavities in your mouth. 

Tap, filtered, and alkaline Water and mental Health 

The type of water that you drink plays a big part in it. 

Tap water is actually the best out of these three. Why? Because you’re getting fluoride, which will strengthen your enamel and also prevent cavities. It’s probably your best one. 

Some filtered water may retain the fluoride, depending on the water filter. If your water is nasty to drink otherwise, or you prefer the taste of filtered water, you can. 

Alkaline water tends to be at the lowest because while there are some benefits in terms of neutralizing the acidity of odors, there’s not enough research to state otherwise on these potential benefits. More is needed to confirm the overall impact on teeth before you can decide one way or another. 

The big thing to be mindful of, is that some places have bad tap water, especially with impurities.   Keep this in mind, and be mindful of your water consumption. 

How Dehydration connects to Sensitivity and Bad Breath 

Dehydration causes a lot of problems with your oral health.   While dehydration is bad for the body overall, oral health is especially egregious.   By significantly reducing the saliva production, you create a dry mouth environment. This increases the presence of bacteria, since they’re unable to be washed away. the bacteria will stay, increasing tooth decay, periodontitis, and also bad breath because the mouth is dry. 

Saliva is important. It helps to neutralize the acids and also wash away the food particles, so you need to have water.   A lack of saliva also makes an environment where bacteria can thrive. 

It also can negatively impact the gums, drying them out and a breeding ground for bacteria. While water is important for other parts of the body, it’s especially integral for dental health. 

Make sure you have enough water.   Eight eight-ounce glasses a day works wonders on your oral health, and is probably the simplest way to do this. If you notice that you’re having trouble getting this, get a big water bottle and start to record your water intake. It plays a critical role in your overall health, and proves some marked effects. 

Take care of your teeth by using water. Consume as much as you can to have long-term oral health success, especially when it comes to tooth decay. 

Natural Remedies to Prevent Cavities 

There are a lot of ways to prevent cavities. Eating well, drinking water, and the like.  Natural ways to prevent tooth decay is important, sometimes almost more important than the natural ways. 

Here are some natural remedies that will allow you to prevent those cavities. We’re going to explore food that you should eat, various herbal remedies worth looking at, and finally, actions you can take in order to prevent cavities. 

Foods for Cavity Prevention 

The first is foods that you have to prevent cavities. Now, because of this, we’re not saying they will automatically prevent this, but they strengthen your enamel in order to prevent further cavities in the future.   

The first is dairy. This is because of the calcium, which is used to strengthen bones and teeth. Very good for strengthening your enamel, and overall preventing tooth decay.

Leafy greens are another. Leafy greens contain B and D vitamins, which are good for prevention of tooth decay.

Nuts are a third one.  Nuts offer a lot of unique vitamins, proteins, and the like. It keeps you full too, so you’re not over here trying to eat something bad. Sugary foods are definitely something to avoid, since in a lot of cases, it can be something that will cause more decay.

Many people eat too much sugar. Sugar is the natural killer, and it’s why a lot of people are having tooth issues. This is because of their teeth, and not taking care of them.   but, when you eat right, you’ll be able to prevent this. 

Herbal remedies. 

Herbal remedies are another. The basis for this is that they do naturally fight bacteria. They are anti-inflammatory, and antimicrobial, which is used to kill the bad bacteria, writing them in its place. These remedies are a little bit divided if they work, but they are something which, for many people, is a good way to fight cavities. 

Oil pulling 

Finally, there is oil pulling. This is where you take oil and swish it around in your mouth. While it might seem silly, this actually helps with tooth decay because it pulls all of the germs away from your mouth. When everything’s pulled it then gets rid of a lot of the decay.  You spit it out, and the oil then gets rid of those germs. 

Baking soda as well is used with this. Baking soda is also good for a lot of tooth decay preventative measures. This is because baking soda is abrasive, and is good for cleaning even the worst stains. Bear in mind that if you do use this, try not to overuse the item, because the abrasiveness will wear away the enamel that’s there. 

Overall, this is not the only way to prevent tooth decay, but it is a measure you can take, in order to improve your oral health. 

Complement, not Replace 

All of these natural remedies are complements for your oral health care routine. No, do not replace your oral care routine with this. 

You want to make sure that you still go to the dentist for check ups multiple times a year, and also brush your teeth every day, and floss your teeth as well. a healthy diet and regular oil pulling, however, can work to keep your teeth looking nice and shiny. Knowing this, you’ll be able to have the best oral health that you can, and in turn, make sure that you’ve got a bright smile that will last a long time!